INVISALIGN

"The Clear Alternative to Braces®"

Watch our introductory Invisalign video below presented by
Brucegate dentist Dr Richard Lindsay BDS, MCG Dent, DPDS, Dip Rest RCS

Play Video

WHAT IS INVISALIGN?

Invisalign is a system for straightening teeth that involves wearing a series of clear removable aligners that gently move your teeth into a more desirable position.

The number of aligners required will depend on the amount of movement required and the price varies depending on this.

The biggest benefit with Invisalign is that the aligners are virtually invisible and can be removed if necessary. There are no brackets attached to the inside or outside of your teeth, so eating and cleaning is much easier.

Frequently Asked Questions

Can I take my aligners off whenever I need to?
Are there any restrictions on what I can eat?
Is it painful?
I have veneers/crowns. Will Invisalign clear aligners work with them?
What happens when I'm done with Invisalign treatment?

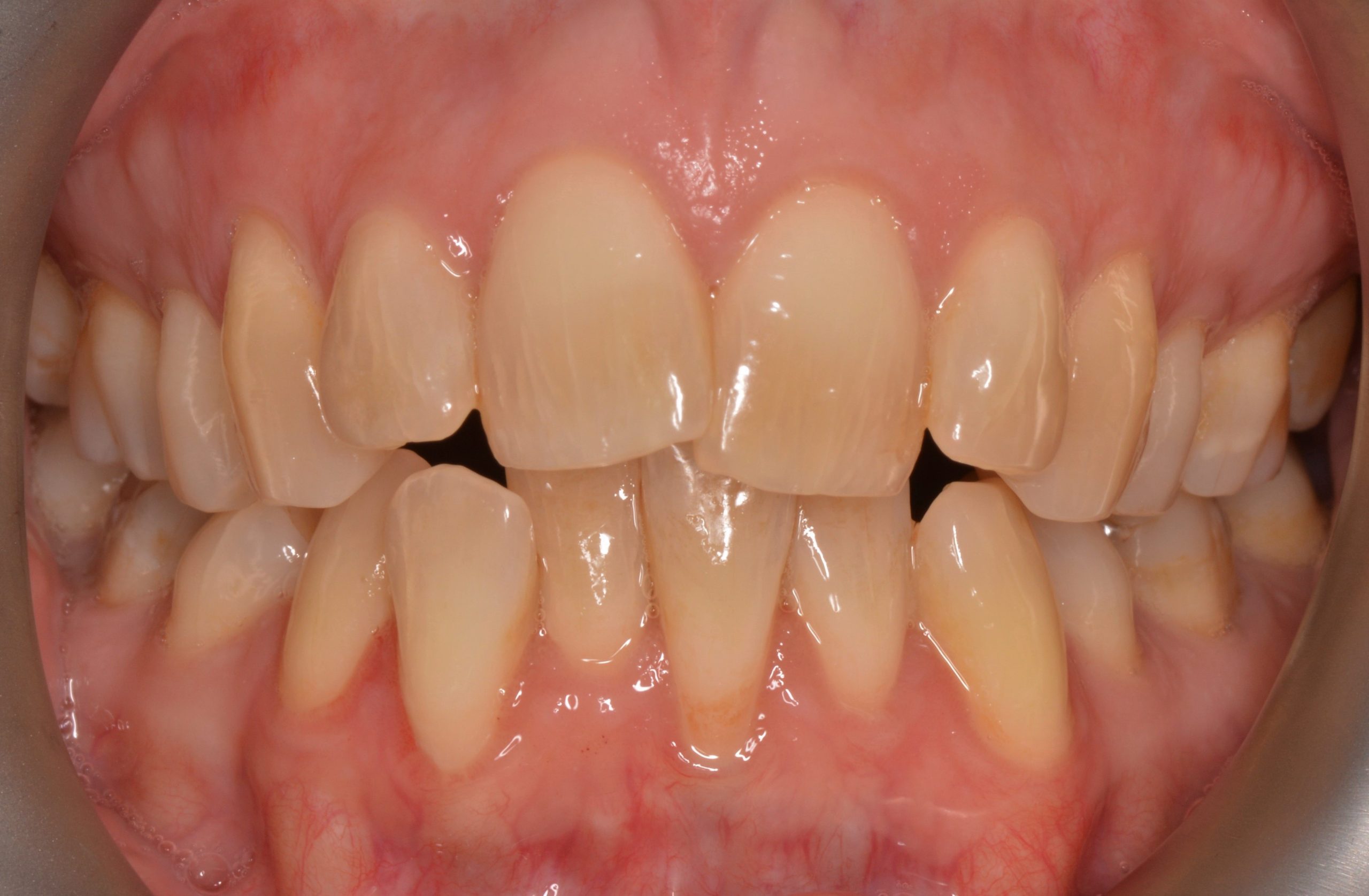
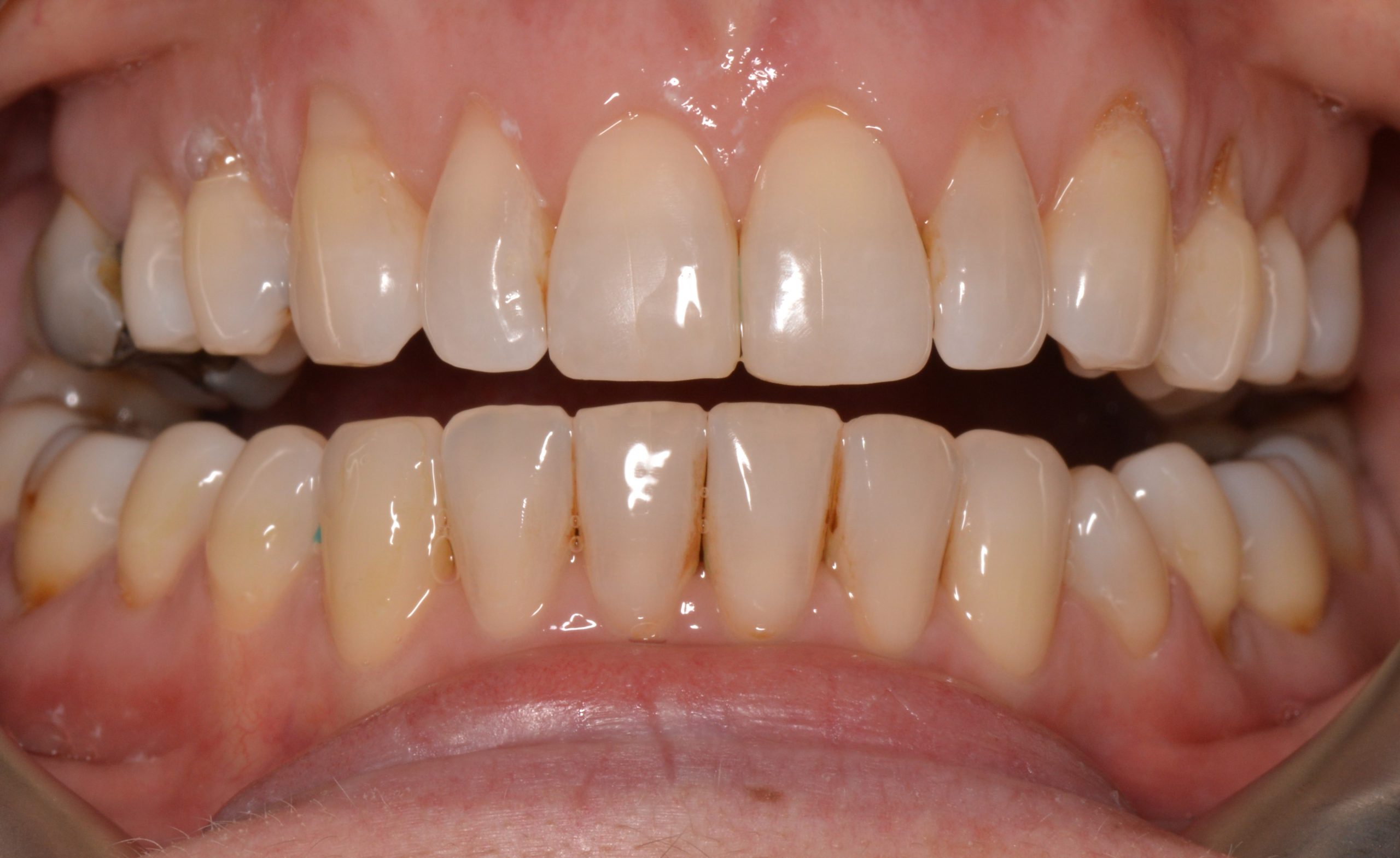
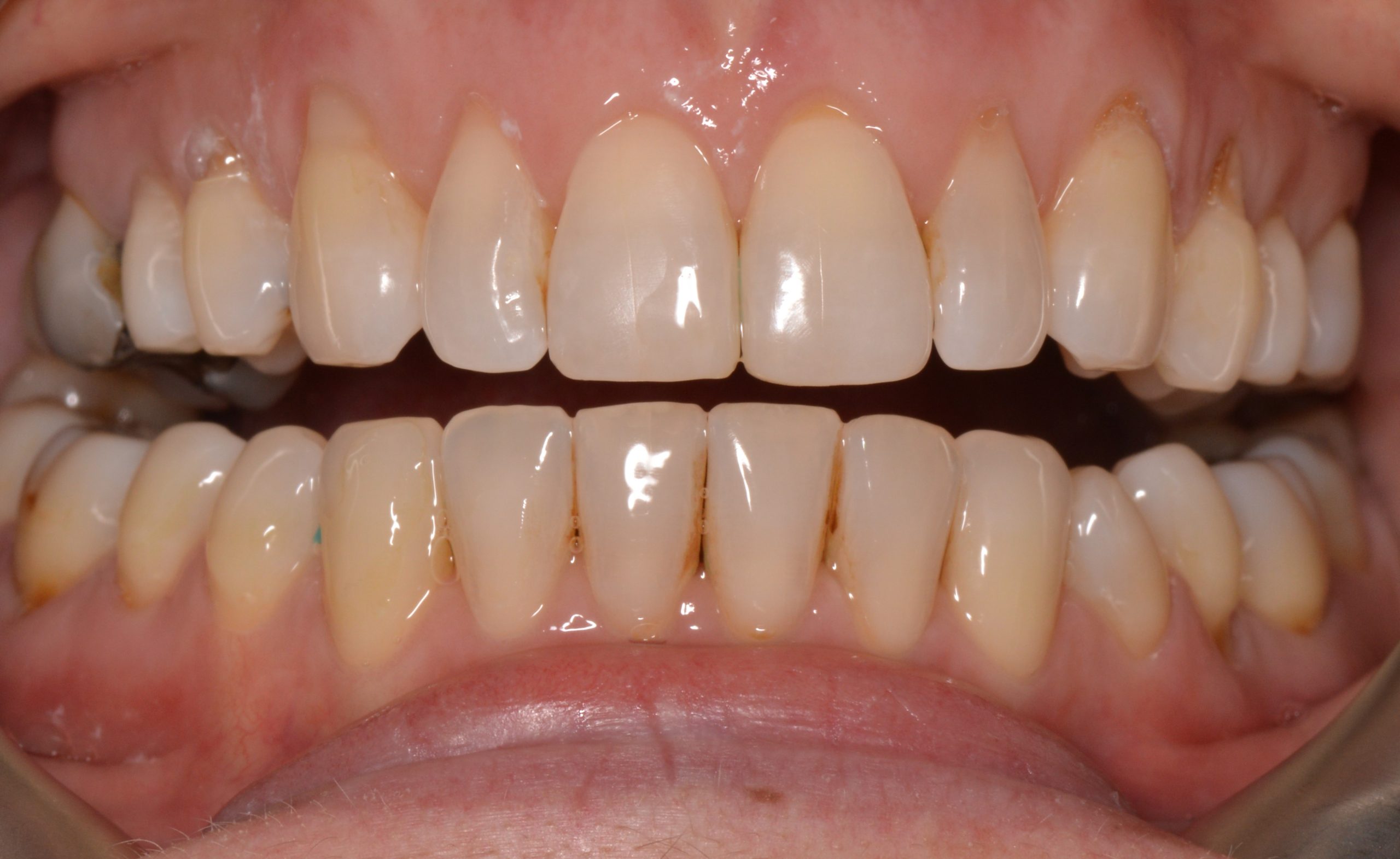
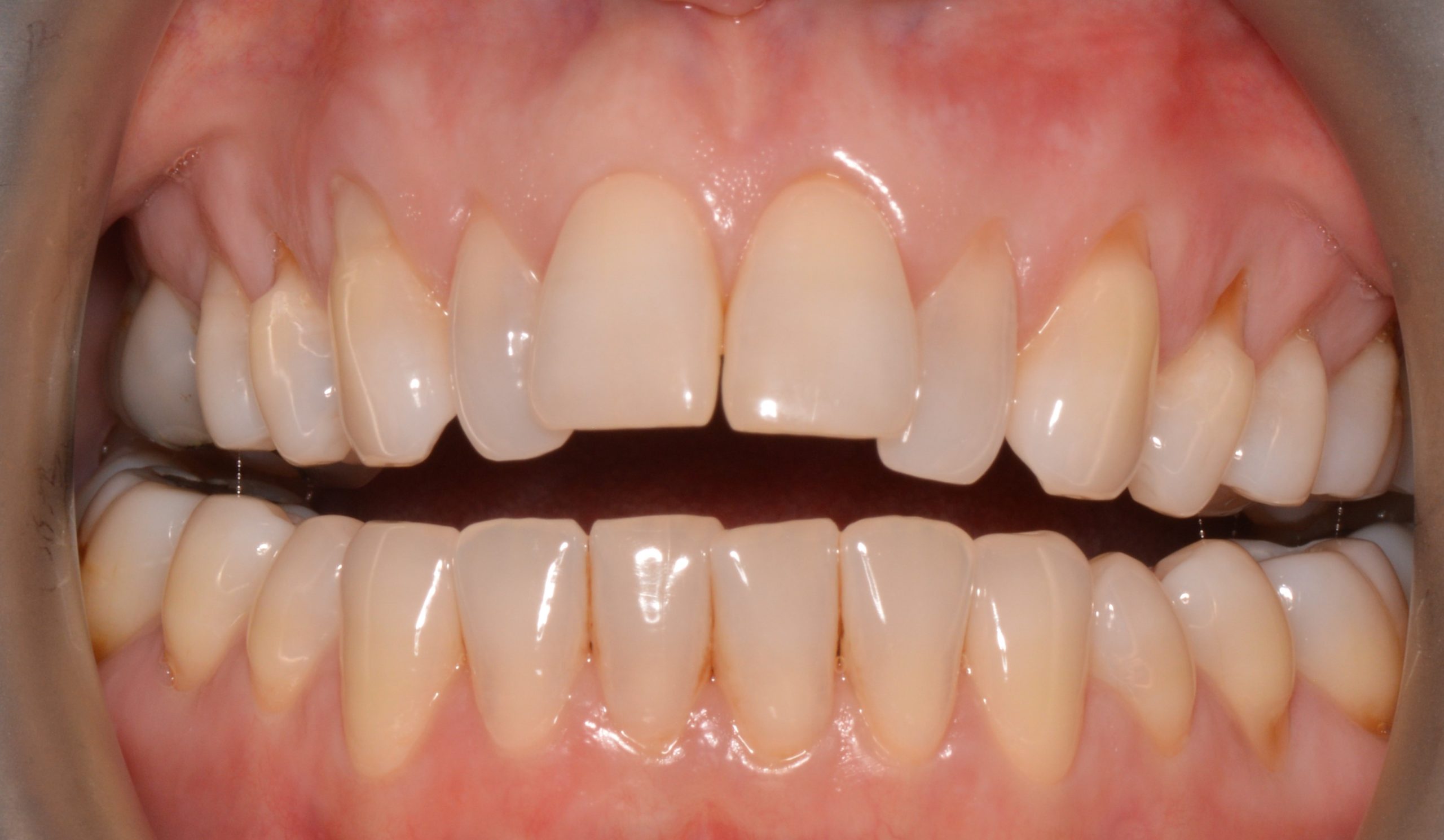
SMILES WE'VE MADE

CURIOUS HOW YOUR SMILE COULD LOOK?

Use our convenient link to try on your smile from the comfort of home.

Prices for Invisalign may vary depending on the number of aligners required, and you'll find a breakdown of prices on our fee guide page.

Your initial consultation is free and includes a comprehensive 3D scan of your mouth, so you can explore your options with confidence and no obligation.

Play Video

CURIOUS HOW YOUR SMILE COULD LOOK?

Use our convenient link to try on your smile from the comfort of home.

Prices for Invisalign may vary depending on the number of aligners required, and you'll find a breakdown of prices on our fee guide page.

Your initial consultation is free and includes a comprehensive 3D scan of your mouth, so you can explore your options with confidence and no obligation.

Play Video

READY TO FIND OUT MORE?

Click the link above to arrange a free, no obligation consultation and find out how Invisalign can help transform your smile and confidence.

 

Call: 01289 306084

Email: info@brucegate.co.uk

Visit: Brucegate Dental Practice, 2-4 Brucegate, Berwick Upon Tweed, TD15 1LP

Brucegate Dental Practice - where your comfort always comes first.